エックス線撮影(レントゲン撮影)について
放射能と診断用レントゲンは同じですか?
レントゲン撮影を連続して行っても身体に影響はありませんか?
子供のレントゲン撮影は安全ですか?
エックス線検査(レントゲン撮影)はなぜするのか?
デンタルエックス線撮影
パノラマエックス線撮影
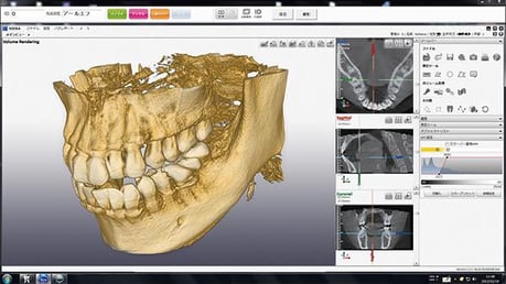
歯科用CT撮影
当院では従来は大学病院等へ依頼していました歯科用CT撮影をいち早く器械を導入することにより、当院での診断精度が向上しました。
また、歯周病・インプラント・親知らず抜歯等でも応用出来ます。
ちょっと気になる被ばくについて
エックス線は放射線の一種です。放射線がヒトのからだに及ぼす影響には皮膚の障害、白内障、発がんなどがあります。
たとえば、目に5000ミリシーベルト(mSv)以上の放射線を被ばくすると白内障が発症することがわかっています。
また100ミリシーベルト以上の被ばくで発がんのリスクが上がるといわれていますが、それ以下では被ばくによる発がんリスクの上昇なのか、あるいは生活習慣などによるリスクの上昇なのかを判断することが難しくなります。
一方、私たちは毎日の生活で、食べ物、飲み物、呼吸、空や地面、建物の壁などからわずかずつ放射線を受けています。
これを自然放射線と呼び、その量は1年間で平均2.4ミリシーベルトになります。
世界には自然放射線の量が多い国もあり、ブラジルには年間10ミリシーベルトを超える地域もあります。
では、歯科でエックス線検査をするとき、からだに浴びるエックス線の量はいったいどれくらいでしょうか?
デンタルエックス線撮影で1枚あたりおよそ0.01ミリシーベルト、歯科用CTでも1検査あたり平均0.15ミリシーベルトといわれています。
自然放射線と比較するととても少ないことがわかります。
エックス線検査は、歯科医師が「本当に必要」と判断したときに「必要
最小限の範囲、回数」で行われています。
そして、みなさんが的確な歯科治療を安全に受けていただくための大切な検査です。
どうぞ安心してエックス線検査を受けてください。
X線撮影セミナー 受講
令和3年12月12日にGC友の会学術講演会webセミナーを視聴しデンタルX線を勉強させて頂きました。
講師の著者に全部書かれているようです。
内容は良かったです。
質の高いデンタルを撮影し読影スキルを身に着けスタッフと情報を共有する必要性を認識しました。
著書も購入し勉強させて頂きます。












