自費診療料金表
当院は全ての自費診療に保証はしません。
入れ歯・インプラント・セラミック等は人工臓器です。
他科におけるガンやポリープ切除等と同じと考えて下さい。
クラウン(被せる歯)
当院で提供するセラミック治療は歯周病菌や虫歯菌が付きにく、全身疾患とも密接に関わるお口の中の細菌の減少効果も期待出来ます。
単に「白い歯」ではありません。
セラミック治療は現段階では保険適応ではありませんので自費診療になります。
自費診療の3つの意味合い
①現状を問題改善
②歯の長くもたす保険
③相対的に全身疾患に優しく健康寿命への投資
この3つの意味合いがあります。
1つは現状の問題の改善
銀歯は目立って嫌だから
セラミックにする。
2つ目は歯を長くもたす保険と言いう意味あい
3つ目は体に入るお口の中の細菌を減少させ、健康寿命が長くなる可能性が期待できる。
以上、3点からセラミック治療をお薦めさせていただくことがあります。
保険診療
1歯 約2,000円~8,000円
e-max
1歯 60,000円(税込)
ジルコニアクラウン
1歯 60,000円(税込)
セラミック
1歯 80,000円(税込)
ゴールドクラウン
1歯 300,000円(税込)
インプラント
インプラントに関して言えば
ブリッジよりも歯に対する負担が少なく歯が長持ちする。
ブリッジもインプラントも現状ではどちらも咬むことに差はないと思います。
ただ、歯を長くもたすと言う意味で言うと大きな差があります。
当院で使用するインプラントは世界基準で最も信用力の高いインプラントメーカーの製品のみを扱っています!
ストローマンインプラント 1本 350,000円(税込)
ストローマン社は、世界のインプラント市場で売上高ナンバー1の最も信用力が高く、長い歴史を持つインプラントメーカーです。
ストローマンは精密機械産業が盛んなスイスのバーゼルに本社があり、現在では世界70か国以上に歯科用インプラント関連製品を提供しているグローバル企業です。
オステムインプラント 1本 250,000円(税込)
世界の歯科インプラント市場で販売本数1位のシェアを有します。
オステムインプラントは韓国を始め、米国、日本、中国、インドおよびドイツなど世界45か国で使用されています。
デンチュウムインプラント 1本 250,000円(税込)
ヨーロッパや中国、ロシア、中東、アジア、中南米等の全世界約70カ国にインプラント製品を輸出するグローバル企業です。
*上部構造(被せ物)込の価格です。
*骨造成等の必要な場合にはGBRテクニック・サイナステクニック・ソケットリフトテクニック等の処置が必要になる可能性があります。
これらは別料金です。
GBRテクニック
80,000円(税込)
サイナスリフトテクニック
100,000円(税込)
ソケットリフトテクニック
50,000円(税込)
ノンクラスプデンチャー(バネ無し入れ歯)
4歯まで 120,000円(税込)
4歯以上 150,000円(税込)
CAD/CAMデンチャー(デジタル入れ歯) ジルコニア補強入れ歯(セラミック入れ歯)
*患者さんのお口に状態により対応出来ないこともあります。
CAD/CAMデンチャー(デジタル入れ歯)
上顎 250,000円(税込)
下顎 250,000円(税込)
ジルコニア補強入れ歯(セラミック入れ歯)
上顎 250,000円(税込)
下顎 250,000円(税込)
ホワイトニング
当院では下記の3種類のホワイトニング法を用意しております。
オフィスホワイトニング 上下10歯 30,000円(税込)
歯科医院で施術するホワイトニングで薬剤を歯の表面に塗って、
光をあてるなど、基本的にその日の内に歯を白くする方法です。
ホームホワイトニング 30,000円(税込)
患者さんがご自宅で行うホワイトニングで患者さんの歯列に合わせて作った
マウストレーの中に薬剤を入れて、歯科医師の指示に従って自宅で行う方法です。
デュアルホワイトニング 49,800円(税込)
オフィスホワイトニングとホームホワイトニングを併用する方法です。
最も、ホワイトニング効果が出る方法です。
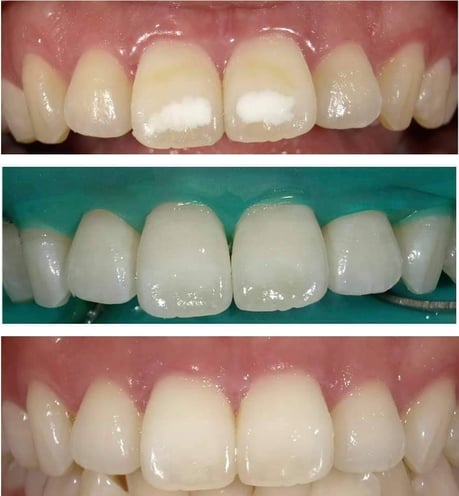
ホワイトスポット治療(エナメル質形成不全症治療)
36,000円(税込)
*1回2本までの治療です。
*1本でも金額は同じです。
インプラントオーバーデンチャー(インプラント+入れ歯)
インプラントオーバーデンチャー
上顎 500,000円(税込)
下顎 500,000円(税込)
スポーツマウスガード
1床 20,000円(税込)
半年から1年での定期的な作製をお薦めしています。
保証はありませんので、ご了承の程宜しくお願い致します。
接着ブリッジ(クリアアライナー併用)
1歯 80,000円(税込)
保証:1年
自費診療の考え方
医療費控除















