インプラント(Implant)
入れ歯は低栄養リスクが高まります!
入れ歯を入れると低栄養リスクが高まり、結果として虚弱(フレイル)が進行し健康寿命に影響が出ると考えられています。
その為、健康寿命での投資と判断されインプラント治療を受けられる方々が増えています。
インプラント治療費用
ストローマンインプラント
世界最大級のインプラントメーカーで世界シェアNO.1のグローバルインプラントメーカーです。
1本 450,000(税込)被せ物(ジルコニア or e-max)込みの価格です。
オステムインプラント
世界販売本数No.1のインプラントメーカーです。
1本 270,000円(税込)被せ物込み(ジルコニア or e-max)
当院ではほとんどの患者さんにサージェリーガイドを
使用したインプラント手術を行っています
デンチュウムインプラント
アジアで広く使用されているインプラントです。
当院では令和5年11月から採用しております。
1本 270,000円(税込)*被せ物込み(ジルコニア or e-max)
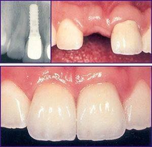
歯を失ったとき「ブリッジか、入れ歯か、それともインプラントか」と歯科医院で説明を受け多くの方が迷うことでしょう。
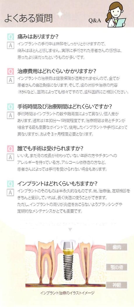
インプラント治療は金属の一部を体に埋め込み、上部に人工歯を取り付けて使うという特殊な治療法で、一番の特徴は、金属が埋入した骨にガッチリと結合し自立することです。
それはつまり、部分入れ歯などのようにほかの歯に負担をかけず、傷めずに済むということ。
こうした治療は現状ではインプラント治療以外になく、そういう意味で替えの利かない治療になっています。
ただし欠点もあります。
手術が必要、治療期間が長い、予備治療の時間がかかることもある、そして、自費診療である点です。
ただ、信頼性の高い材料と機器・器具を使い感染対策を万全にして、専門に訓練されたスタッフが治療するとなると、ある程度の費用が生じざるを得ないと言えるでしょう。
治療に時間がかかるのはなぜ?
インプラント治療の大まかな流れは、
1、相談と検査
2、診断と説明
3、埋入前の予備治療
4、インプラント体の(人工歯根)の埋入
5、アバットメントの頭出し (接続部分の取り付け)手術
6、上部構造つくり(人工歯の取り付け)となります。
インプラント治療は、インプラント体を埋入してから顎の骨に結合するまでに1~4か月程かかります。
この接合は接着剤でつけたり部品をはめ込むのではなく骨の生体反応によるもの。
つまり、インプラント治療を成功させるには、骨の自然治癒力
見守りじっくりと待つことが不可欠。
治療に時間がかかるのはそのためです。
また、人によっては埋入の下準備として「お口の環境整備」が必須となります。
お口のクリーニングと歯磨きのスキルアップでお口の清潔を保つほか、虫歯や歯周病があるならまず治療し、あごの骨が足りなくなっているなら再生療法で増やします。
治療後のメンテナンスも重要です。
インプラント治療は入れたら終わりではありません。
快適に使い続けるには、むしろ入れてからのお手入れが重要です。
放っておいてインプラントの周りがプラークや歯石だらけになると、今度はインプラントのまわりに炎症が起き、あごの骨との結合が失われて、せっかくの治療が機能しなくなってしまいます。
治療を長持ちさせるために、必ず定期的に歯科医院へメンテナンスにおいでください。
ニューヨーク大学 歯科大学院 インプラントトレーニングコース修了
日本口腔インプラント学会専門医講習会 修了
インプラント関係研修実績
インプラント手術後の注意点
インプラント治療後の注意点をいくつかお伝えします。
よくお読みになって下さい。
1、通常は1日程度、唾液に血液が混ざることが多いです。
もし、出血が気になるようでしたら、清潔なガーゼを丸めて噛んで下さい。通常三十分程度で止まります。
それでも止まらないようであれば、早めにご連絡下さい。強いうがいはしないようにしましょう。出血、痛みの原因にもなります。
2、長風呂は避けて、シャワーで軽く流す程度にして下さい。
3、激しい運動は控えてください。出血、痛みの原因になります。
4、刺激の強い食事や、お酒、タバコは二週間程度避けて下さい。
5、術部は大変気になると思いますが、下で触ったり、指でいじったりしないで下さい。
6、お薬は必ず、処方された通りに、飲むようにして下さい。当院の指示通りに飲んでいただき、蕁麻疹などの症状が現れたら、すぐに飲むのをやめて、ご連絡下さい。
*その他気になることがございましたら、いつでも連絡して下さい。
インプラント治療は多少時間が掛ります。
根気強く、私たちと一緒に頑張りましょう!
サイナスリフト・ソケットリフト
インプラント周囲炎について
インプラントのメインテナンス
当院では、インプラントメインテナンスの専門資格を有する歯科医師と歯科衛生士が在籍しています。
インプラント治療を受けられた方々を専門性をもってサポートしています。
1、当院でインプラント治療を受けられた方。
2、他院でインプラント治療を受けられ紹介で来院された方。
3、当院からインプラント治療を大学病院等に紹介させて頂いた方。
を対象としています。
*インプラント治療はメインテナンスが重要です。
インプラント治療はどこでメインテナンスをされるか?を判断基準に
インプラント治療を受けられることをおお薦めします。
*他院でインプラント治療を受けられ、紹介状なしでインプラントメインテナンスを希望される方は、基本的にインプラント治療を受けられた歯科医院での定期歯科健診をお薦めしています。
インプラントメインテナンスコース 修了証














