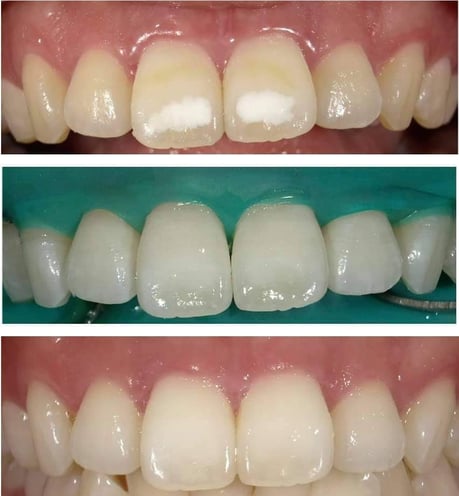
ホワイトスポット治療(エナメル質形成不全症)
遺伝的に歯の最も固い組織であるエナメル質が上手く形成されていない患者さんが多くいらっしゃいます。
近年ではicon(アイコン)というドイツ製の材料を使用してそれなりに直せるようになっています。
院長自身が正規のカリキュラムで研修を受講し導入させて頂きました。
現段階では自費診療となります。
36,000円(税込)
*1回2本までの治療をしています。
*1本でも金額は36,000円(税込)です。
*ホワイトスポット治療にはホワイトニングで分かりにくくするケースもあります。
*お薦めはホワイトニングで歯に着いた不純物を取り除きiconを使用したほうが良いと思います。
*iconを使用したレジン浸潤法は定期的な経過観察と歯科医院での歯面清掃が必要です。
従いまして、ホワイトスポット治療のみをご希望の場合はiconを使用した治療法は適していません。
治療の流れ
*初診で直ぐにiconでのホワイトスポット治療は行いません。
初診:口腔内診査診断・写真撮影・レントゲン診査等
2回目受診:歯周検査・歯石除去・歯面清掃等
3回目受診:iconでのホワイトスポット治療(ホワイトニング無の場合)
4回目受診:歯面清掃・歯面研磨
基本的にはiconでのホワイトスポット治療前に不純物除去を目的にホワイトニングをお薦めしております。
【治療例】
1、ホームホワイトニング+iconでのホワイトスポット治療
30,000円+36,000円(治療期間は約1か月です)
2、デュアルホワイトニング+iconでのホワイトスポット治療
49,500円+36,000円(治療期間は約2か月です)
使用材料
ドイツの医療材料メーカー・DMG社のicon(アイコン)を使用します。
治療イメージ
治療イメージ動画
Icon関連研修実績
ICONセミナー 受講
令和7年9月27日
演題:
ホワイトスポット治療の最前線
演者:品川淳一先生
東京都開業
主催:ヨシダ株式会社
ホワイトスポット治療セミナー 受講
令和7年9月28日
演題:
最新ホワイトスポット治療戦略
講師:品川淳一先生
主催:ウルトラデント社
icon国際セミナー 受講
演題:Do you still drill and fill? Caries infiltration
~より低侵襲な低粘性レジン浸潤法~
演者:
Prof. Dr. Hendrik Meyer-Lückel
ベルン大学歯学部教授
(スイス)
主催:ヨシダ株式会社
DMG株式会社(ドイツ)
アイコンを使用した浸潤療法の基礎知識セミナー 受講
演題:ホワイトスポット治療、悩んでいませんか? アイコンを使用した浸潤療法の基礎知識
講師:稲葉 英理佳 先生
(東京都開業)
主催:KOデンタル株式会社
ホワイトニング&ホワイトスポット治療セミナー 受講
ホワイトスポット治療に使用するiconの日本販売代理店・株式会社ヨシダさんのWEBセミナーを受講しました。
当院では大阪府でもiconを使用したホワイトスポット治療を行う数少ない歯科医院だそうです。
基本的にはホワイトスポット治療の第一人者である品川先生と指宿先生と同じ方法と材料を使用しています。
またiconを使用したホワイトスポット治療の前にホワイトニングも推奨しています。
ハイブリットホワイトニング+icon使用のホワイトスポット治療の併用術式を確認の為受講させて頂きました。
icon web オンデマンドセミナー受講(ヨシダ主催・2023年)
iconを使用したホワイトスポット治療を勉強させて頂きました。
今年は5月から新型コロナウィルス感染症が5類に分類されマスクを外すタイミングになり口元が気になる方々が増えているようです。
ホワイトスポット(エナメル質形成不全症)も長年コンプレックスになっている方々が多いように思います。
このような環境において当院でもホワイトスポット治療に関する問い合わせが増えています。
知識を今一度確認したく受講させて頂きました。
この2人の先生は日本のホワイトスポット治療の先駆者です。
まだiconが日本に輸入されるようになってから数年で経過が不明瞭な部分はありますがアメリカとEUでは広く使用されており安心して使用可能な歯科材料と考えています。
ニッチな治療ですが潜在需要は高いと考えています。
icon webセミナー 受講 2022年
8月21日、ホワイトスポット治療材・アイコンの日本総代理店・株式会社ヨシダのセミナーでアイコンを勉強させて頂きました。
スピーカーはホワイトスポット治療のエキスパートの2人の先生。
まだ国内で発売され2年程のホワイトスポット治療材の材料ですが、アイコンを使用した低粘性レジン浸潤法は徐々にアップデートされて来ていました。
個人的にはホワイトニングを併用したブラウンスポット治療への応用と研削の仕方、チャージの考え方が勉強になりました。
ホワイトスポット(エナメル質形成不全症)にお悩みの患者さんは多数いらっしゃいますから、これからもアップデートを期待しています。
Icon セミナー2022 受講
令和4年3月27日、Icon セミナーを受講しました。
講師は指宿先生。
東京医科歯科大学大学院でIconを専門に研究された日本のIcon専門家です。
特に新しい知見はありませんが、知識の確認と治療法の確認の為に受講しました。
やはり毎日Icon治療をされていらっしゃる先生のレクチャーは有意義でした。
今後も研鑽に励んで行きます。
国際 Icon WebLive Swminar 受講
国際 icon weblive seminar 受講
テーマ:ホワイトスポット削らずに直そう
レジン浸潤法のエキスパートがリレー講演
講師:
Dr.Enk Jan Muts(オランダ・審美歯科医)
指宿隆英先生(東京都勤務)
品川淳一先生(東京都開業)
主催:株式会社ヨシダ(Icon日本総代理店)
ホワイトスポット治療セミナー 受講
令和3年12月26日にホワイトスポットのセミナーを受講しました。
良くまとまったセミナーで90分で明日から臨床に反映出来る内容です。
ホワイトスポットはニッチな分野ですが悩んでいる患者さんはたくさんいらっしゃいます。
自費診療になりますのでプレゼンも重要です。
iconを使用したホワイトスポット治療の知識整理が出来ました。
ICON(ホワイトスポット治療剤)セミナー 受講
令和3年11月23日メーカーさんのウェビナーでICONを勉強しました。
講師は日本ヘルスケア学会の先生です。
ICONはホワイトスポット治療剤でドイツ製です。
需要の拡大と物流の混乱で品薄らしいです。
やはり気になるが削りたくない方々は一定数存在するようです。
平滑面用と隣接面用の2種類があり付属品が違うだけのようです。
術式は極めて簡単ですが15%の塩酸でエナメル質を溶解させる為にラバーダムは必須。
材料代もそれなりですし保険収載されていませんから当然それなりの自費診療になります。
個人的にはホワイトスポットは放っておくか?削って日本製の良いコンポジットレジンで充填した方が予後は良いと考えています。
経過がよく分かりませんが、おそらく着色等のトラブルは発生すると思います。
余談ですがデンマークの歯科事情もご教示頂きました。
デンマークでは歯科医師と歯科衛生士はほぼ公務員だそうです。そして定期歯科健診受診率90%以上!定期歯科健診に行っていなければ保険が下りないという話はよく聞きますが、90%以上とは驚きです。たぶん行かないと罰則がある可能性が高いと思いました。
スウェーデンも似た感じです。














