歯科口腔外科(Oral Surgery)
この診療科は大変幅が広い分野です。
当院では基本的に歯科開業医としての無理のない治療のみをさせて頂きます。
主として治療させて頂いておりますのは、抜歯や口内炎・口角炎の治療でございます。
ある程度負担の大きな治療は大学病院等に紹介しておりますのでご理解の程宜しくお願い致します。
親知らず(智歯)
親知らずは智歯とも呼ばれ、通常は18~20歳ごろに生えます。
あごが小さく、親知らずの生えるスペースがない場合、横向きに生え、あごのなかに埋まってしまいます(埋伏智歯)。
横向きに倒れて生えている親知らずにはさまざまなリスクがあるので抜歯が必要かどうか、歯科医師に相談しましょう!
早めに抜いたほうがよい場合は?
1.歯ぐきが腫れ痛んでいる(智歯周囲炎)。
(ひどい場合顔まで腫れることも)
2.隣の歯がむし歯になっている。またはなる可能性がある。
3.親知らずの周りの骨が吸収している。
4.親知らずに押されて歯並びが悪くなっている。
5.あごのなかに嚢胞(袋状の病変)ができている。
抜かなくてよい場合は?
正常に生え、上下がきちんと噛み合っていて歯ぐきに炎症がなければ抜く必要はありません。
なぜ、親知らずを抜歯するのか?
1.親知らずの周りの歯ぐきが腫れ、歯を支える骨まで溶けてしまいます(智歯周囲炎)。
また、放置すると痛みや腫れを繰り返し、悪化すると顔やのどのほうまで腫れ、口が開かなくなったり熱が出ることがあります(蜂窩織炎)。
2.親知らずと隣の歯のあいだに汚れが溜まり、気付かぬうちに隣の歯がむし歯になって、最悪の場合、抜歯しなくてはいけないこともあります。
3.親知らずに押された歯が倒れて歯並びや噛み合わせが悪くなることがあります。噛み合わせが悪化すると、顎関節症の原因にもなります。
4.嚢胞(袋状になった病変)が親知らずの周りにでき、放置すると徐々に大きくなり、あごの骨が溶けてしまいます。
親知らずの抜歯前にお願いしたいこと
①歯ぐきを切り、あごの骨を削る必要がありますので、抜歯に多少時間がかかります。
また、抜歯後の痛みは通常1~4日ほどあり、頬も4~7日間腫れる場合があります。
冠婚葬祭等、大事な用事がある前は避けましょう。
抜歯翌日に消毒を、約1週間後に抜糸をしますので、余裕をもった日程を組んでください。
②睡眠はしっかりとり、食事は軽くすませてください。
睡眠不足や空腹のため、抜歯時に気分が悪くなることがあります。
体調を整えておきましょう。
③血がついてしまうことがあるので、白い服は避けましょう。
④口紅を落としてください。また、長い髪のかたは束ねてください。
⑤麻酔で唇の感覚がなくよだれが垂れやすいためハンカチがあると便利です。
⑥歯根と神経の位置関係を詳しく見るためCT検査が必要な場合があります。
⑦抜歯中に気分が悪くなったり、痛いときには左手を上げてお知らせください。
抜歯後にお願いしたいこと
口内炎
「口内炎」は白い「アフタ」だけではありません。
「口内炎」という言葉を聞いて、みなさんはどんな病変を思い浮かべられるでしょうか?
おそらく、ポツッと白いものができて痛い「アフタ」を思い浮かべるのではないでしょうか。
「アフタ」は多くのかたが経験する口内炎で、そのため「口内炎」という言葉は、「アフタ」の代名詞のように使われることも多いです。
もともと「口内炎」とは、口の粘膜に起きる炎症の症状を、かなり大雑把にひとくくりにして表現する、とても便利な俗称なんです。
「口内炎」と一般的に呼ばれる症状のなかには、アフタのほか、カンジダ、ウイルス感染によってできる水疱、誤って噛んでできたキズの炎症、それから全身疾患の症状がお口の中に出たもの、がんに変化する前の病変など、数多くの粘膜のトラブルが含まれます。
全身性の病気が関わる口腔粘膜の症状
*口腔粘膜病変には体調が大きく影響します。
口腔はからだの一部です。
そのため全身疾患の症状が口腔に現れてくることがあります。
その症状に重要な全身の病気が潜んでいる可能性があるのであなどってはいけません。
全身疾患と関連する代表的な口腔粘膜疾患をご紹介しましょう。
①貧血による舌炎
舌は比較的観察しやすく、全身疾患がよく反映されるところの一つです。
舌のヒリヒリ感などの痛みや違和感、味覚異常などの症状があるとき、注意が必要な全身疾患の合併症として貧血が挙げられます。
鉄の欠乏(鉄欠乏性貧血)、ビタミンの欠乏(悪性貧血)などが引き起こす症状が舌に出るもので、眼瞼結膜(まぶたの裏)が蒼白になります。とくに胃炎や胃摘出術の既往があると、ビタミンB12が吸収されず悪性貧血の原因に。
早めに内科に相談し検査を受けましょう。
②免疫低下による毛舌
加齢や薬の影響による免疫力の低下やドライマウス、抗菌剤の長期投与などが原因で、口腔内常在菌のバランスが崩れると毛舌を生じることがあります。
黒毛舌は色素産生菌の増加により舌の糸状乳頭が伸びて黒色になると考えられ、カンジダ菌などの真菌感染が関与することもあります。
まずは原因をきちんと突き止めることが重要です。
治療法は口腔内の清潔を保つこと。
舌ブラシで舌の奥から先端に向けて掻き出すように、適度な舌ブラッシングを行います。
③水疱症による粘膜症状
ある日突然歯ぐきの粘膜が剥がれ、歯みがきでびらんや潰瘍が悪化するときは、水疱症を疑う必要があります。
免疫疾患である天疱瘡や類天疱瘡は皮膚に水疱(水ぶくれ)ができるものと、主に口腔粘膜に水疱ができるものがありますが、水疱はすぐに破れてしまうのでわからないことがほとんどです。
何か変だなと思ったら、早めに粘膜疾患外来のある口腔外科や皮膚科を受診しましょう。
④血液疾患による歯ぐきの腫れや出血
急性白血病をはじめとする血液腫瘍では、歯ぐきの腫れや出血が初期症状として発症することがあります。
腫瘍細胞が歯ぐきで増殖したり、血小板減少が原因で出血傾向になるためです。
多くが全身倦怠感、顔面蒼白、動悸、息切れなどの全身症状を伴うので、疑わしいときは早急に内科や専門機関を受診しましょう。
⑤エイズによる毛状白板症
ヒト免疫不全ウイルス(HIV)に感染後、数年経過すると後天性免疫不全症候群(AIDS:エイズ)を発症します。
エイズでは口腔カンジダ症や毛状白板症などが初期症状として発症することがあります。
抜歯のキズの治癒が悪い、口腔カンジダ症を繰り返す、舌側縁部に白斑(毛状白板症)がある、などの症状を認めた際にはエイズの発症を疑い、まずは口腔外科の受診を考えましょう。
*異変を感じたら全身にも目を向けましょう!
今回紹介した口腔粘膜疾患は、全身疾患の口腔症状としてはほんの一部に過ぎません。
いつもと異なる症状を発見したときは全身症状にも目を向けましょう。
そして日頃から相談のしやすい口腔外科、内科や皮膚科などのかかりつけ医を持ったり、歯科医院で紹介してもらうことが重要です。
いずれの疾患も早期発見と早期治療がとても重要になります。
口腔カンジダ症
口腔カンジダ症はいくつか分類され、偽膜性カンジダ症、紅斑性(萎縮性)カンジダ症、肥厚性カンジダ症などがあります。
そのほかカンジダが原因となるものに、カンジダ性義歯性口内炎やカンジダ性口唇炎(カンジダ性口角炎)等もあります。
口腔カンジダ症の診断は、まずは特徴的な口腔所見から判断致します。確定診断は、臨床所見に加えて、培養や塗抹鏡検などの検査によって確定させます。
対処は抗真菌薬の投与に加え、口腔ケアが非常に重要でございます。
カンジダ症の原因と注意事項と対応
1、日和見感染症としてのカンジダ症
私たちのからだは、健康なときには免疫力が正常に働いており、さまざまな細菌、真菌、ウイルスなどによる感染症を抑え込んでいます。
しかし免疫力が低下すると、それらの弱毒病原体(どこにでもいるような微生物で、通常ではほとんど病気を起こさない)が病気を起こすことがあり、それを日和見感染症呼びます。
口腔の日和見感染症の代表格が口腔カンジダ症です。
カンジダ症を引き起こすカンジダ菌は健康な人の口腔内にもかなりの割合で常在菌として存在しており、口腔のほかには皮膚や膣などでもカンジダ症の原因となるカビの一種です。
2、口腔カンジダ症の原因
免疫力低下の原因はさまざまです。
加齢、長期の病気療養による体力低下、ステロイド剤や免疫抑制剤などの免疫を抑える薬剤の内服、がんの化学療法などがあります。
抗生物質の長期内服も常在菌のバランスを崩壊させ、口腔カンジダ症の原因になることがあります。
さらにエイズなどで免疫力が低下した際に最初に現れる症状の一つでもあり注意が必要です。
また、唾液には抗菌成分が含まれており、唾液の分泌が減少するドライマウスでもカンジダ症を合併する確率が高くなることが知られています。
3、口腔カンジダ症の症状、白い斑点や発赤に注意
口腔カンジダ症のもっとも代表的な症状は偽膜性カンジダ症と呼ばれ、粘膜にポツポツと点状の白斑ができるものから広範囲に及ぶものまで様々です。
白斑はカンジダの塊で、綿球などでこすると容易に剥がれます。
そして剥がれた粘膜は発赤と痛みを伴い、時に出血も見られます。
さらに入れ歯が当たってこすれる歯ぐきや舌の表面などが赤くただれて痛む、紅斑性カンジダ症や、病変が厚く隆起してこすっても除去できない肥厚性カンジダ症もあります。
これら見た目の症状に加えて粘膜のザラザラ感や違和感、味が分かりにくいなどの味覚異常、痛みなどの自覚症状もいっしょに現れてくることがあります。
粘膜病変に共通することですが、まずこすってみて反応を確認してみることが重要です。
4、治療には、お口の清潔と体力の回復が重要
口腔カンジダ症が疑われるときには早めに口腔外科を受診して、培養検査などにより診断をつけることが重要です。
治療は、まず口腔内を清潔に保ち体力の回復を心がけます。
入れ歯はカンジダ菌増殖の温床になりますので、カンジダ菌溶解酵素配合の義歯洗浄剤などの使用も有効です。
そして薬物療法は最も有効な治療手段の一つです。
治療薬は内服薬、含嗽剤、軟膏、ゲルなど様々な種類がありますので、症状に合った薬の用法を選択します。
またドライマウスなどがある際にはその治療も同時に行うことが重要になります。
抗血栓薬を服用中の患者様へ
抗血栓薬を継続したままでも抜歯は可能です。
「歯を抜かなければならないから」と中断するのはやめましょう。
中断したために脳梗塞や心筋梗塞などを起したら大変です!
口腔癌と飲酒・喫煙の関連性
歯科・口腔外科の領域は口腔癌を発見し治療するという役割があります。
口腔癌の発生には、喫煙のみならず飲酒も関係しています。喫煙と同時に飲酒するとタバコのニコチン等の発癌物質がアルコールにより溶解されより発癌しやすくなります。
また、飲酒だけでも口腔癌や食道癌の相対危険率は上昇し、飲酒量がウィスキーの水割りで4杯、500ccのビールで2本を超えると急激に危険度が上昇することが分かっています。
飲酒と喫煙による食道癌の発生率に関してタバコの本数よりも酒量の増加が危険度を上昇させ、タバコと酒量の両方が多いと非常に危険度が上昇するという報告があります。
*なお当院では、設備や専門領域・専門スタッフ等の関係から、口
主に、大学病院や総合病院(口腔外科)へ紹介させて頂ておりま
ドライマウス(口腔乾燥症)とは?
ドライマウス(口腔乾燥症)とは、何らかの原因で唾液が減少した状態をいいます。
実際には、ストレスや飲まれているお薬の副作用が原因である場合が多いです。
唾液はお口の唾液腺から分泌されます。
1日に分泌される量には個人差がありますが、成人で1,000mlから1,500mlほどにもなります。
唾液はその99%以上が水分ですが、リン酸カルシウム、ナトリウム、カリウムなど歯を再石灰化(むし歯の補修)してくれる無機質、消化作用をもつ酵素類、殺菌や免疫に関するタンパク質など、実にさまざまな成分を含んでいます。
つまり唾液は私たちが生活していくうえでとても大切な働きをしています。
たとえば、唾液が分泌せずお口が渇くと、お口の中が洗浄されず、言葉を正確に発することも出来なくなります。
また、食べ物をしっかりと噛んで唾液を混ぜ軟らかくすることも出来なくなります。
唾液に含まれるさまざまな成分の働き、たとえば、歯を再石灰化しむし歯から守る作用(緩衝能)や殺菌作用なども十分に発揮されなくなります。
つまり唾液が正常に分泌されることは、私たちの歯やからだの健康維持にとても重要なのです。

最近、「口の中が乾く」、「喉がガラガラする」、「唇が切れて痛い」、「入れ歯がすれて痛い」など、唾液量の減少に起因する症状を訴える患者さんが多くなってきたように思います。
ドライマウスで悩む患者さんは、全国に約800万人いるといわれ、滞在的なドライマウス予備軍に至っては3000万人にもおよび、いまや社会的な問題です。
歯科医院で見られるドライマウスのサインは、口唇の乾燥や亀裂・口角炎、歯肉表面の乾燥により、根面う蝕にもなりやすくなります。
さらに舌苔が溜まり口臭が悪化します。ドライマウスが長期化し重症化した場合、入れ歯の擦れや疼痛、舌のひび割れや痛みの発現、ひいては歯周病の悪化などを認めます。
うつ病、パーキンソン氏病、整形外科疾患、高血圧症、喘息や気管支炎の治療薬のなかには、副作用で口腔乾燥を引き起こしやすい薬があります。
生活環境の変化がないか、ストレスや更年期障害がないか、エアコン下で長時間過ごしていないかなどを確認して下さい。
歯や入れ歯、舌が痛くてよく噛めないために唾液の分泌量が減る場合もあります。
見落としがちなのが薬を飲むときの水の量です。高齢者になるとトイレが近くなるのを嫌い、知らず知らずのうちに水分の摂取量が減ってしまいがちです。
このようなさまざまな原因が、ドライマウスの引き金となります。
睡眠時無呼吸症候群
私たちは睡眠中でも呼吸をしていますが、短期間では睡眠中に呼吸が止まる人がいます。
これが高血圧症を誘発あるいは悪化を引き起こす一因として考えられています。
また、睡眠時無呼吸症候群の方は運転中に眠気を催す頻度が高く、一般人より高い割合で居眠り運転、居眠り事故等を経験しています。
「いびき」により周りの方々に迷惑を掛けることもあります。
今後、当院ではタイミングを見計らい耳鼻科や呼吸器内科の先生方との連携の上、該当患者さんの治療用口腔装置の作成を進めてまいります。
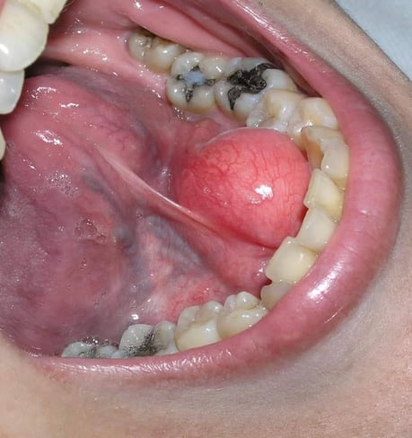
ガマ腫
粘液嚢胞
研修実績
がん患者の口腔ケアマネジメントセミナー 受講
令和7年7月31日
演題:
1.抗がん剤使用時の口腔ケアの重要性と押さえておりたいポイント
2.がん薬物療法に伴う口腔粘膜炎に対するサポーティブケアのポイント
演者:岸本裕充先生(兵庫医科大学医学部歯科口腔外科学講座教授)
濱田倫史先生(相良病院歯科口腔外科部長)
江戸美奈子先生(北海道がんセンター歯科口腔外科)
主催:第一三共株式会社














